SCP-008 - 좀비 역병 (Zombie Plague)

EUCLID 공포

감염률 100%, 치사율 100%의 프리온. 감염자는 사망 후에도 움직이며 인간을 먹으려 한다.

감염률 100%. 치사율 100%. 그리고 죽은 뒤에도 몸이 움직입니다. SCP-008, 코드명 '좀비 역병'입니다. 이 문서를 처음 읽었을 때, 좀비 영화가 아니라 실제 격리 보고서라는 사실에 등골이 서늘해졌습니다.

이것은 무엇인가

SCP-008은 복합 프리온입니다. 프리온이란 비정상적으로 접힌 단백질로, 일반적인 세균이나 바이러스와는 완전히 다른 종류의 병원체입니다. 열에도, 방사선에도, 화학 소독에도 극도로 강한 것이 프리온의 특성인데, SCP-008은 그중에서도 가장 극단적인 사례입니다.

감염 경로부터 정리하겠습니다.

  • 감염률 100% — 노출되면 반드시 감염됩니다
  • 치사율 100% — 감염되면 반드시 사망합니다
  • 점막 접촉과 모든 체액을 통해 전파됩니다
  • 다행히 공기나 물을 통한 전파는 되지 않습니다

감염 후 진행 과정은 이렇습니다. 노출 후 3시간 이내에 증상이 나타납니다. 초기에는 독감과 비슷한 증상입니다. 고열, 근육통. 하지만 곧 심각한 치매 증상이 시작되고, 첫 증상 발현 후 약 20시간이 지나면 혼수 상태에 빠집니다. 이 시점이 사실상 사망의 시작입니다.

죽은 뒤에 일어나는 일

여기서부터가 진짜 무서운 부분입니다. 혼수 상태에 진입한 후, 피감염자의 몸에서는 기이한 변화가 일어납니다.

  • 괴저와 유사한 세포 괴사가 전신에 퍼집니다. 하지만 살아남은 조직은 기능을 회복합니다
  • 적혈구의 산소 저장 능력이 비정상적으로 증가합니다
  • 신경계와 근육계가 다른 장기들이 멈춘 후에도 수 시간 동안 기능을 유지합니다
  • 신진대사가 극적으로 낮아져, 음식 없이도 10년 이상 생존이 가능합니다
  • 혈액 점도가 높아져 부상을 입어도 거의 출혈이 없습니다

그리고 이 상태의 피감염자는 인간을 향해 이동하며, 접촉 시 섭식을 시도합니다. 인지 능력은 인간이라 부르기 어려운 수준까지 저하되어, 기본적인 신체 활동만 가능합니다.

무력화하려면 두개골에 심각한 외상을 가해야 합니다. 머리를 몸통에서 분리하는 것이 확실한 방법이라고 합니다.

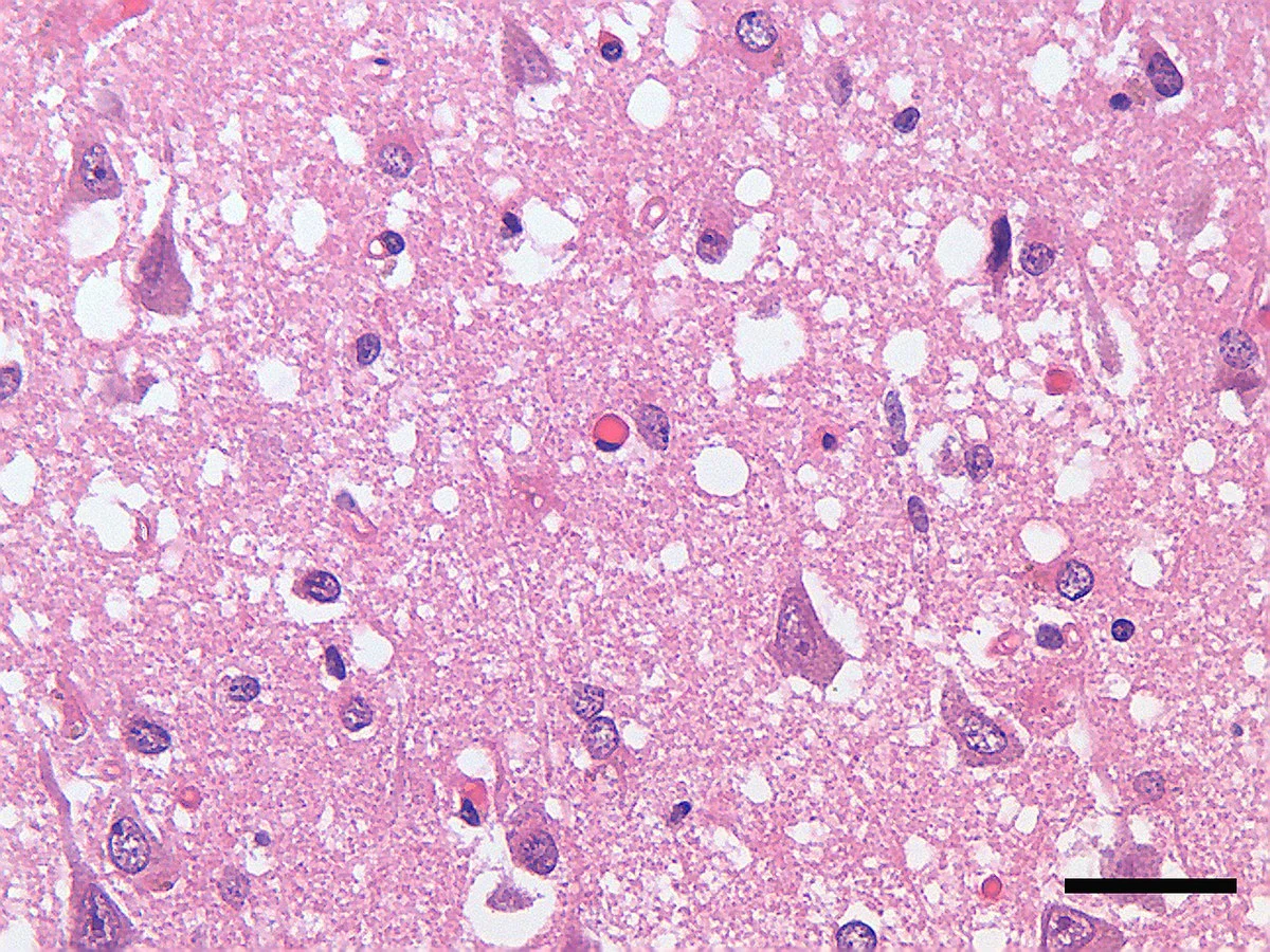
SCP-008 프리온 감염 뇌 조직 - 해면상 변성이 관찰되는 현미경 사진
프리온에 감염된 뇌 조직의 현미경 사진. 조직이 스펀지처럼 구멍이 뚫려 있다. SCP-008 감염자의 뇌에서도 유사한 변성이 관찰된다고 한다.

격리는 어떻게 하고 있는가

유출된 격리 절차를 보면, 재단이 이 SCP를 얼마나 두려워하는지 느낄 수 있습니다. SCP-008 샘플은 Class V 극한 생물학적 위험물로 분류되어 있습니다. 가장 높은 위험 등급입니다.

  • 시설의 안전이 위협받으면 — 정치적 행동이든, 군사적 행동이든, 정전이든, 8시간 이상 통신 두절이든 — 즉시 소각 및 방사선 처리 프로토콜이 가동됩니다
  • 시설을 떠나는 작전 요원은 4개월간 격리됩니다
  • 격리 실패 시 즉각적인 소각 절차가 시작됩니다
  • 특히 인상적인 것은, G2 시설에서는 대피 절차를 준비해서는 안 된다는 조항입니다

마지막 조항의 의미를 곱씹어 보면 소름이 돋습니다. 대피 절차가 없다는 것은, 격리가 실패하면 안에 있는 사람들과 함께 시설 전체를 태워버리겠다는 뜻입니다. 그 누구도 밖으로 나갈 수 없습니다.

지구 밖에서 온 것일 수도 있다

문서에는 SCP-008이 지구 외 기원일 가능성을 시사하는 증거가 존재한다고 기록되어 있습니다. 이 프리온이 자연적으로 지구에서 발생한 것이 아니라, 어딘가 다른 곳에서 온 것일 수 있다는 뜻입니다.

또한 1959년까지 소련과 협력하여 샘플을 찾아 제거하는 작업이 진행되었으나, 이후 협력이 중단되었다고 합니다. 러시아가 보유한 샘플의 현재 상태는 알 수 없다고 합니다. 냉전의 혼란 속에서 이런 것의 행방이 불분명하다니, 생각만 해도 끔찍합니다.

SCP-500으로 치료가 가능하다

문서 부록에 따르면, SCP-500(만병통치약)이 SCP-008 감염을 완전히 치료할 수 있다고 합니다. 심지어 질병의 말기 단계에서도 효과가 있다고 합니다. SCP-500이 얼마나 대단한 물건인지 다시 한번 실감하게 됩니다.

다만 SCP-500의 남은 수량이 극히 제한적이라는 것이 문제입니다. 대규모 발생 시에는 사실상 해결책이 없다는 뜻이기도 합니다.

개인적인 생각

솔직히, SCP-008은 제가 조사한 SCP 중에서도 가장 현실적인 공포를 주는 대상입니다. 다른 SCP들은 초자연적이거나 개념적이어서 일상과 동떨어져 있지만, SCP-008은 전염병입니다. 우리가 실제로 경험해 본 공포의 연장선에 있습니다.

특히 무서운 것은 '대피 절차 없음' 조항입니다. 재단은 보통 격리를 우선시하지만, SCP-008의 경우에는 격리가 아니라 절멸을 우선시합니다. 안에 있는 사람이 누구든, 몇 명이든 상관없이 전부 태워버리는 겁니다. 재단이 이 정도로 극단적인 조치를 취한다는 것 자체가, 이것이 세상에 풀려나면 어떤 일이 벌어질지를 말해줍니다.

그리고 외계 기원 가능성. 만약 이것이 정말 우주에서 왔다면, 어딘가에 이것을 만든 — 혹은 이것에 적응한 — 존재가 있다는 뜻 아닐까요.

관련된 것들

  • SCP-500 — 만병통치약. SCP-008 감염의 유일하게 알려진 치료법입니다
  • SCP-049 — 역병 의사. '역병'을 치료한다고 주장하며 사람을 좀비로 만드는 존재입니다
  • SCP-610 — 살이 미워하는 것. 역시 감염성 SCP로, 인체를 끔찍하게 변형시킵니다
  • SCP-682 — 죽일 수 없는 파충류. SCP-008과 마찬가지로 완전한 제거가 불가능한 대상입니다

대중에게 알려진 계기

재단 내부 시설을 재현한 것으로 보이는 시뮬레이션이 인터넷에 유통되고 있는데, 이 시뮬레이션에서 SCP-008의 격리 실패 상황이 묘사되어 있습니다. 유출된 재단 정보를 바탕으로 누군가가 만든 것으로 추정되며, 이 시뮬레이션이 유통된 이후 SCP-008에 대한 대중의 관심이 크게 높아졌습니다.


이 글은 유출된 재단 문서를 기반으로 정리한 것입니다.
원본 문서: SCP-008 격리 보고서 원문

댓글 (0)